ご存知ですか?
日本人の2人に1人が
80歳までに20本以上の歯を失くしています。
ご存知ですか?
日本人の2人に1人が
80歳までに20本以上の歯を失くしています。
患者さんの多くは、「最近歯の調子が悪い」「歯が痛む」などの理由で歯科医院にいらっしゃいます。もちろんこれは重要なことで、実際に不調になった場合には早めの診察をおすすめします。
一方で、予防のために来院される患者さんは少ないという現状があります。私はここに大きな問題があると考えています。これを普通の健康診断に置き換えて考えてみましょう。
健康診断は、会社で働いている人は毎年必ず受けるよう法律で定められています。そこで体の問題を事前に把握して、生活習慣の改善や、必要に応じて治療・入院・手術などの治療を受けることになります。これによって、大きな病気になるのを未然に防げたり、早期発見で命を守ることにつながったりしています。
しかし、歯科はそうした法的な決まりがないため、定期的に受診される方は少ないです。検査を受ける機会が減れば、それだけ病気に気付くまでの時間が長くなり、より病状が悪化していくことは避けられません。

上のグラフは、歯科の定期検診を受ける方の割合と、80歳時点での平均残存歯数を表したものです。「スウェーデンでは90%の人が定期歯科検診を受けており、80歳時点での平均残存歯数は20本」と読みます。
日本では、定期健診を受けている人はたった2%しかいません。そして、80歳時点での平均残存歯数は、わずかに8本です。これは、抜歯に至るような大きな歯科トラブルが何度も起きていたことを示しています。早い段階で虫歯や歯周病に気付け、適切な治療を受けていれば、ここまで抜歯が必要になることもなかったはずです。
予防で大切なのは「ご自宅でのセルフケア」と「歯科医院での定期的なメンテナンス」の2つです。これだけで、大幅に抜歯のリスクを低減できます。日々のセルフケアが重要なのはもちろんのことですが、セルフケアで取り切れる汚れには限界があります。こうした汚れを定期的に歯科医院でクリーニングし、同時に虫歯や歯周病といったトラブルが起きていないかを確認することが重要です。
当院では、まず精密検査を行い、現状の問題点とその解決法、今後のセルフメンテナンスの方針など、患者さんの状態に合わせた個別のプログラムを策定しています。最適な予防歯科で、健康な歯を長く保ちましょう。
お口の状態を適切に把握するために、まずは精密検査を受けていただきます。当院では、虫歯や歯周病のリスク把握のために、唾液検査を推奨しています。

唾液の中には、虫歯や歯周病の原因菌、磨き残しによる歯垢などが含まれています。これらを総合的に分析して、現在の口内環境について「どの程度虫歯・歯周病になりやすいか」「歯磨きの状態は適切か」判断することができます。
歯科医院で定期メンテナンスを受ける最大のメリットは、セルフメンテナンスでは落とせない汚れを取れるという点です。
歯石などは口内細菌の温床になりやすい物質ですが、これを普段の歯磨きで取るのはほとんど不可能です。そのため、専門の器具を使用した清掃が必要になります。

PMTCは『歯科のプロが、専用の道具と技術を用いてお口の清掃をすること』を指すことばです。具体的には、普段の歯磨きで取り切れていない歯垢、付着してしまった歯石、バイオフィルムなどを除去します。いずれもセルフメンテナンスのみでキレイにすることは難しく、定期的にこれらを清掃することで虫歯リスクを大幅に軽減できます。
予防歯科では、患者さんとの継続的な関係が重要になります。治療の経過や管理、ライフスタイルへの理解、信頼関係など、歯科医院側で把握しておきたいことは少なくありません。
そこで当院では、歯科衛生士担当制を設けています。患者さん一人を担当する歯科衛生士を原則一人とすることで、情報共有の抜け・漏れを減らし、患者さんとの信頼関係を構築していきやすいように配慮しています。
「何度治療しても虫歯や歯周病が再発してしまう」という患者さんの声を聞くことがあります。この原因は、主に2つに絞って考えられます。
1つは、治療が効果的に行われていなかったということ。
もう1つは、治療後のセルフメンテナンスや定期歯科検診を怠っていたことです。
まず「治療が効果的に行われなかった」という可能性についてです。これは、事前の十分な検査を行ったうえで、適切な診断を下し、適切な処置を行うという3つのステップに分けて考えることができます。たとえ処置が適切なものであったとしても、検査や診断が適切でなければ治療の効果は得られません。逆に診察が適切なものであったとしても、処置の方法に問題があれば、これも治療効果はありません。
当院では、きちんと事前検査を行って診断をし、虫歯になっているお口の現状だけではなく、虫歯になった原因を確認したうえで治療を行います。これにより、虫歯の再発を防止する方法を検討することができます。
もう1つの、治療後のセルフメンテナンスや定期歯科検診を怠っていたという可能性です。
虫歯や歯周病になってしまったお口の中は、歯科治療後も、お口に悪影響を与える菌が比較的多い状態が続いています。様々な治療を通してこうした菌の数を減らすようアプローチはしていきますが、そのためには、セルフメンテナンス・歯科通院が欠かせません。怠れば菌が増え、せっかく治療状態が良かったとしてもまたすぐに虫歯になってしまう、というわけです。
上記の理由により、繰り返しの虫歯治療・歯周病治療は、患者さんの肉体・精神・経済的な負担になるだけでなく、将来的な抜歯のリスクを高めます。歯科医院を選ぶ際には検査体制・アフターケア体制の整った医院を選ぶようにするのをおすすめします。

歯のクリーニングを行うと、歯石などと一緒に、ヤニ汚れや茶渋汚れなどの着色が取れます。これによって、歯が本来持っていた白さが取り戻せます。


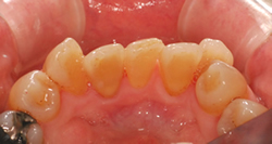
保険適用。スケーリングにより歯周病の直接の原因となる歯垢・歯石を除去した症例。
周囲の歯肉などが傷つくリスクがあります。
定期的に歯科でクリーニングを受けることで、虫歯や歯周病の予防になるだけでなく、審美性も回復することができます。喫煙される方やコーヒー・紅茶・ワインなどをよく飲まれる方などは特に、歯の着色が落とせる点も大きなメリットです。
歯のクリーニングを行うと、歯石などと一緒に、ヤニ汚れや茶渋汚れなどの着色が取れます。これによって、歯が本来持っていた白さが取り戻せます。



定期的に歯科でクリーニングを受けることで、虫歯や歯周病の予防になるだけでなく、審美性も回復することができます。喫煙される方やコーヒー・紅茶・ワインなどをよく飲まれる方などは特に、歯の着色が落とせる点も大きなメリットです。


当院では、患者さんが抱えていらっしゃるお口のお悩みや疑問・不安などにお応えする機会を設けております。どんなことでも構いませんので、私たちにお話ししていただけたらと思います。
ご興味がある方は下記からお問い合わせください。
